Vidéos 3D - Page 2

Traitement orthodontique - appareil autoligaturant en céramique

Traitement orthodontique - appareil autoligaturant en céramique

Le quad helix : traitement du palais et de l’alignement des dents

Le quad helix : traitement du palais et de l’alignement des dents

Contention de Hawley

Contention de Hawley

Gouttières invisibles (avec taquets)

Gouttières invisibles (avec taquets)

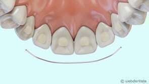
Fil de contention

Fil de contention

Les urgences orthodontiques

Les urgences orthodontiques

Affichage des articles 7-12 sur 21